Case date: October 2018
This 39 year old female presented to the ED complaining of two days of lower abdominal pain and cramping. Her pregnancy test was negative.
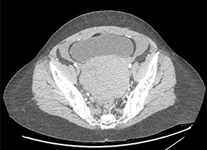
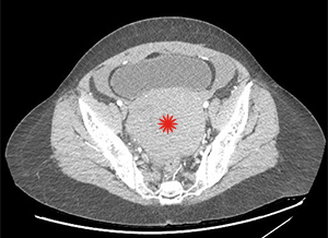
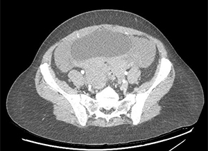
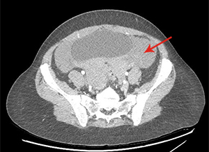
Question 1 : What’s wrong with these pictures?

View Answer
There is a large hemoperitoneum (arrow below) with a massive rectouterine structure (star below) concerning for clot.

Question 2 : What is your leading diagnosis and how is this treated?
View Answer
We were most concerned about a ruptured ovarian cyst as the patient’s pregnancy test was negative and there was no other obvious cause of blood in the abdomen. She did not have the classic story of onset of pain after intercourse. We did a CT scan because the bedside ultrasound images were difficult to interpret due to the clotted blood. The radiologist suspected ruptured ovarian cyst as the cause of the hemoperitoneum.
Management of ruptured ovarian cysts is usually conservative (i.e. supportive, observation) unless the patient has hemodynamic instability or ongoing or heavy blood loss. In these cases, the treatment is surgical with removal of blood and cyst if visible.
This patient developed hypotension in the ED her hemoglobin dropped 2.5 points in 2 hours. She was taken urgently to the OR and had 1 liter of blood removed. She was discharged in stable condition later that day.