Pediatric specialists at Children’s Hospital of New York at NewYork-Presbyterian are among the most experienced in the nation, providing children and adolescents with access to innovative treatments and unmatched clinical expertise. In 2025, experts from Columbia and Weill Cornell Medicine performed milestone surgeries to treat rare and life-threatening diseases; published research to provide clinical insights into conditions ranging from severe aplastic anemia to adolescent depression; leveraged genomics and gene therapy to address congenital disorders, and more. Our specialists are devoted to pushing the boundaries of medicine to ensure children receive the most advanced care and the best possible outcomes.
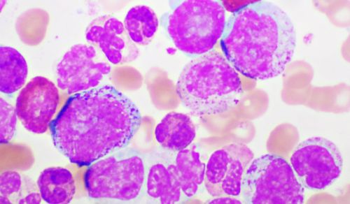
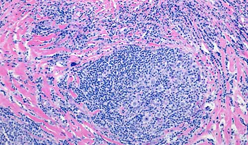
Fighting cancer takes a team, and our pediatric oncology team at the Children's Hospital of New York is made up of internationally recognized specialists who collaborate to provide individualized care for each patient. We provide access to groundbreaking pediatric clinical trials and are the only institution in New York designated by the National Cancer Institute to conduct Phase I pediatric clinical trials — the earliest phase of studies for patients.
Pediatric Oncology (Cancer)
Featured Updates
The JAMA study examined trends in mitral valve repair and replacement and explained the benefits of undergoing repair at a high-volume center.
The Latest












